O Dia Mundial de Combate ao Câncer, celebrado hoje (4), reforça a importância da conscientização da sociedade sobre os vários tipos de câncer, como o do sangue. O destaque é para a leucemia, tema do Fevereiro Laranja.
O oncologista Otavio Baiocchi, professor do Departamento de Oncologia Clínica da Escola Paulista de Medicina da Universidade Federal de São Paulo (Unifesp), diz que o câncer no sangue é diagnosticado por exames laboratoriais, principalmente hemograma, além de exames específicos adicionais.
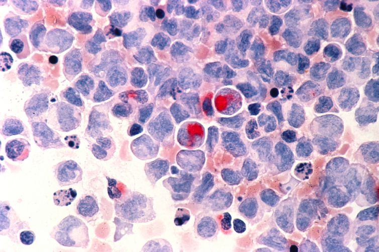
As leucemias, em especial, podem ser divididas em agudas e crônicas. “O que muda é o tempo de evolução e o aparecimento de sintomas”, explica Baiocchi. Nas leucemias agudas, os sintomas e sinais surgem de maneira muito rápida. A doença aparece em qualquer faixa etária, mas é mais comum na infância e na adolescência. Por ser de rápida evolução, apresenta, em geral, alterações no hemograma de instalação rápida, como anemia, baixa de plaquetas, com risco de hemorragia, e baixa imunidade, com risco de infecção. Associado a isso, a pessoa pode ter dores ósseas, aumento de gânglios e do baço.
“Nas leucemias agudas, muitas vezes, o paciente vai para o pronto-socorro com uma dessas queixas: nariz que sangra, febre, fraqueza. E, no pronto-socorro, é identificada a possibilidade de uma leucemia aguda”. Já a leucemia crônica tem sintomas mais insidiosos, diz o oncologista. Pode apresentar os mesmos sinais, como anemia, mas de maneira mais lenta. Diferente da leucemia aguda, que acomete mais crianças, a leucemia crônica é doença de idosos, encontrada em pessoas com idade média a partir de 60 anos.
Segundo Baiocchi, não há como prevenir as leucemias. “Talvez a melhor forma de prevenir seja disseminar o conhecimento, mas não existe nenhum exame de prevenção ou que sugira o aparecimento de uma leucemia.” Uma boa notícia é que, apesar de ser o câncer mais comum na infância, é o mais curável hoje. “A gente cura mais de 90% das crianças com leucemia. Isso vem acontecendo nos últimos dez anos, e cada vez mais”.
Baiocchi ressalta, porém, que o conhecimento e o diagnóstico precoce facilitam a cura. Todo o tratamento da leucemia é baseado até hoje em quimioterapia, tanto no Sistema Único de Saúde (SUS) quanto na rede privada. Dependendo dos casos, a quimioterapia pode ser associada à imunoterapia. Não existe fator de risco para a leucemia, como são, por exemplo, o tabagismo e o alto consumo de álcool para outros tipos de câncer. “Não é uma doença hereditária. É adquirida na infância e na adolescência, mas sem causa definida. Até hoje não sabemos a causa da leucemia.”
O médico defende a realização de campanhas de orientação, afirmando que, quanto mais se fala, menos mitos são criados. “É extremamente benéfico para a sociedade”.
O Instituto Nacional de Câncer (Inca) estima o surgimento de mais de 11 mil casos de leucemia no Brasil por ano, entre 2023 e 2025, englobando as populações infantis e adultas.
Câncer de pênis
Dados obtidos pela Sociedade Brasileira de Urologia (SBU) junto ao Sistema de Informações Hospitalares do SUS revelam que 1.933 homens foram afetados pelo câncer de pênis de janeiro a novembro do ano passado e que houve 459 amputações do órgão masculino. Para esclarecer a população, a SBU realiza, pelo terceiro ano consecutivo, no mês de fevereiro, a campanha de prevenção e combate ao câncer de pênis.
A doença se manifesta por meio de ferida que provoca coceira, queimação, forte odor e que não cicatriza, mesmo com tratamento tópico. Muitas vezes, é confundida com infecções sexualmente transmissíveis (IST). Durante todo o mês, médicos darão esclarecimentos sobre a doença, que é mutilante, nas redes sociais da SBU (@portaldaurologia no Instagram e Facebook). A entidade vai disponibilizar, também ao longo do mês, aulas para os agentes de saúde e o público em geral. Em 2020, 463 homens morreram devido a esse tumor, informou a SBU.
Para o presidente da entidade, Alfredo Felix Canalini, essa campanha é importante por “suprir a deficiência de informações adequadas e falar claramente sobre um problema tão contundente no país”. Uma mensagem simples, mas eficaz, diz respeito à higiene que o homem, desde menino, deve ter para lavar corretamente o pênis. Além disso, é preciso haver mais conscientização da necessidade da cirurgia para o tratamento da fimose, que ocorre quando não se consegue puxar para trás a pele que cobre a ponta do pênis, para que se possa lavar corretamente a região que fica encoberta por essa pele chamada prepúcio.
“Na campanha, também disseminamos informações para os profissionais que estão na atenção básica à saúde, para que sejam os principais multiplicadores dessas importantes informações”, reforça o presidente da SBU.
A diretora de Comunicação da SBU e uma das idealizadoras da campanha, Karin Jaeger Anzolc, afirma que o câncer de pênis é impactante não só pela mutilação e sofrimento que acarreta, mas também pela alta mortalidade que acompanha a doença nas fases mais avançadas. “Saber que é um dos cânceres mais preveníveis que existem e que, com medidas relativamente simples, podemos fazê-lo, é um alento. Porém, a conscientização e o conhecimento ainda não chegaram a uma boa parte da população, então, precisamos continuar, até que possamos reverter esse triste cenário.”
De acordo com o Sistema de Informações Hospitalares do SUS, de 2007 a 2022, foram realizadas 7.790 amputações de pênis decorrentes de câncer, o que equivale à média de 486 procedimentos por ano. Os anos de 2019 e 2018 formam os que registraram maior número de casos da doença, respectivamente 2.156 e 2.134. Conforme dados disponíveis até novembro do ano passado, 2018 e 2019 tiveram também mais amputações do órgão masculino, 639 e 637, respectivamente. Os estados com maior registro de amputações, de 2007 a 2022, foram São Paulo (1.321), Minas Gerais (1.161), Paraná (633) e Ceará (526).
Alfredo Canalini reitera que quatro ações ajudam na prevenção da doença. A primeira é a limpeza adequada do pênis com água e sabão, puxando o prepúcio para higiene da glande, que deve ser feita todos os dias e após as relações sexuais. Outras ações são tomar a vacina do HPV, disponível gratuitamente no SUS para a população de 9 a 14 anos; retirar o prepúcio, quando essa pele que encobre a cabeça do pênis não permite a higienização correta; e usar preservativo para evitar contaminação por infecções sexualmente transmissíveis, como o HPV.
Relevância
Neste Dia Mundial de Combate ao Câncer, a União Internacional para o Controle do Câncer (UICC) também coordena uma campanha contra a doença. A ação é reforçada pela Federação Brasileira de Instituições Filantrópicas de Apoio à Saúde da Mama (Femama). A estimativa do Inca é de 704 mil novos casos anuais de câncer no Brasil até 2025, dos quais 74 mil serão de mama.
Monumentos em Brasília, São Paulo, Belo Horizonte, Salvador, Teresina e outras cidades serão iluminados de laranja e azul neste sábado (4) para alertar sobre a relevância da data, enquanto as 75 organizações não governamentais associadas à Femama realizarão ações para prestar esclarecimentos sobre a doença nas redes sociais.
A mastologista Maira Caleffi, fundadora e presidente voluntária da Femama e presidente do Conselho de Diretores do Instituto de Governança e Controle do Câncer, lembra que todas as pessoas devem ter acesso a serviços oncológicos essenciais e de qualidade, com base em sua necessidade, e não na capacidade financeira. “Conscientizar a população sobre isso e fazê-la exigir esse direito é uma das missões da Femama”, diz Maira.
Igualdade
A campanha internacional tem como slogan Por Cuidados Mais Justos, o que envolve o acesso de todos à prevenção, ao diagnóstico e ao tratamento, independentemente da condição financeira e de origem.
Não é exagero afirmar que ter acesso ao diagnóstico e ao tratamento salva vidas, diz Maira. “Os números comprovam isso. Cerca de 70% das mortes ocorrem em países de baixa e média renda, considerando que apenas 30% deles têm serviços disponíveis de tratamento de câncer. Entre os países mais ricos, 90% contam com essa estrutura. O câncer é uma doença que tem cura. Cerca de 95% dos pacientes que são diagnosticados precocemente obtêm resultados muito positivos com o tratamento. É possível, sim, pensar em um futuro sem morrer da doença”. A médica alertou, entretanto, que, para que isso aconteça, “é preciso agir já”.
A campanha mundial sobre o câncer objetiva aumentar a conscientização global e incentivar ações que criem novas perspectivas aos pacientes em todo o mundo. Para Maira, uma das maneiras de contribuir com a campanha é divulgar informações de qualidade sobre prevenção, diagnóstico e tratamento, além de exigir acesso aos cuidados mais justos para todos.
Entre os cuidados preventivos, Maira recomenda o consumo de alimentos saudáveis e a redução dos processados; evitar o sedentarismo e fazer exercícios com regularidade; não fumar, seja cigarro convencional, seja eletrônico; proteger a pele antes de expor-se ao sol e evitar o bronzeamento artificial; vacinar-se contra o HPV; reduzir o consumo de álcool; evitar poluentes e produtos químicos e informar-se sobre os sinais e sintomas oncológicos.
Fonte: Agência Brasil
